トップページ > インプラント症例
当院でおこなったインプラント治療の症例
インプラント治療に力を入れている奈良県宇陀市の松田歯科医院がこれまでに対応してきた、インプラントの治療症例の一部を、写真入りで紹介いたします。
インプラント治療に悩まれている方、他の歯科医院では断られた方など、ぜひ参考にしてください。
インプラント症例1
初診時

治療後

16年後全てのインプラント安定してます

16年後のレントゲン写真


【症例1 57歳 女性 上顎前歯の違和感】
| 治療内容 | 主訴:上顎の前歯部分が疼痛により当院へ相談しに来院されました。 処置:骨が欠損していた難症例でしたので、帆年再生療法(GBR)と歯肉移植を併用したインプラント治療を行いました。十分な骨の再生が得られ、きれいな歯が入ったと喜ばれました。 |
|---|---|
| 費用 | 総額 962,500円(税込) ・インプラント様(片顎)CT撮影 11,000円(税込) ・静脈内鎮静法B(ドルミカム) 27,500円(税込) ・GBR(組織再生誘導療法)B(ソーセージテクニック) 154,000円(税込) ・フェクスチャー(インプラント) 242,000円×2本=484,000円(税込) ・セラミック冠(冠+アパットメント) 143,000円×2本=286,000円(税込) |
| 治療期間・回数 | 治療期間約2年 治療回数約30回 |
| リスク・デメリット | 外科手術が必要となりますので、神経の圧迫や損傷による麻痺や血管による出血、術後の腫れなどが生じます。時間と経過とともに自然にひいてきます。もし痛みがある場合は、鎮痛剤などの処方を行います。また、なるべく低侵襲な治療法を選択する事で負担の少ない治療を行います。そして神経損傷などのリスクを回避するために当院では、CT撮影による精密診断や神経や血管の位置をより正確に把握し、治療計画を立てて行います。 |
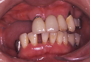
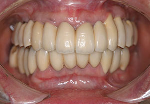
インプラント症例2
初診時

治療後

【症例2 37歳 男性 上顎前歯疼痛】
| 治療内容 | 主訴:強度の嘔吐反応があり、義歯を入れる事が出来ないため、当院へご相談しに来院されました。 処置:重度の歯周病のため、上顎は全て歯を抜歯して、10本のインプラント治療を、科学は歯周外科手術を行った後に3本のインプラント埋入して噛めるようにする治療計画を立てました。上顎両側の骨幅が足りないので、スプリットクレスト法(歯槽骨頂分割術)を用いて、インプラント(人工歯根)を埋める一次手術を行いました。その後、上顎の二次手術と下顎右側臼歯部の人工歯根を埋める一次手術を同時に行いました。義歯を入れる事が出来なかった患者様でしたが、「ちゃんと噛めて夢のようです。」と感動されました。定期的にメンテナンスにもこられ、16年後も全てインプラントが安定されております。 |
|---|---|
| 費用 | 総額 4,141,500円(税込) ・インプラント様(片顎)CT撮影 11,000円(税込) ・静脈内鎮静法B(ドルミカム) 27,500円(税込) ・フェクスチャー(インプラント) 242,000円×10本=2,420,000円(税込) ・セラミック冠(冠+アパットメント) 143,000円×10本=1,430,000円(税込) ・ポンテック 143,000円×2本=286,000円(税込) |
| 治療期間・回数 | 治療期間約1年半 治療回数約18回 |
| リスク・デメリット | 外科手術が必要となりますので、神経の圧迫や損傷による麻痺や血管による出血、術後の腫れなどが生じます。時間と経過とともに自然にひいてきます。もし痛みがある場合は、鎮痛剤などの処方を行います。また、なるべく低侵襲な治療法を選択する事で負担の少ない治療を行います。そして神経損傷などのリスクを回避するために当院では、CT撮影による精密診断や神経や血管の位置をより正確に把握し、治療計画を立てて行います。 |





